مستشفى سوهاج الجامعي تنجح في استئصال "ورم خبيث" بالمخ لطفل
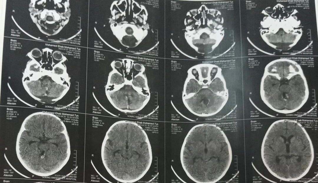
نجح فريق طبي من قسم جراحة المخ والأعصاب بمستشفى سوهاج الجامعي، وبالتعاون مع قسم التخدير في إنقاذ حياة طفل يبلغ من العمر ١٠ سنوات، يعاني من قىء مستمر مع فقدان الإتزان أثناء الحركة، بعدما تبين وجود ورم خبيث يزن ١٠٠ جرام، بالفص الخلفي من المخ ضاغط على المخيخ وجزع المخ.
وصرح الدكتور حسان النعماني رئيس جامعة سوهاج، أن الفريق الطبي بالمستشفى قام بإجراء التدخل الجراحي الدقيق لإنقاذ حياة الطفل من خلال جراحة دقيقة ومعقدة، استمرت ٦ ساعات متواصلة، تكللت فيها جميع الجهود بنجاح العملية وعودة الطفل الي بيته سالمًا.
وقال الدكتور مجدي القاضي عميد كلية الطب البشري ورئيس مجلس إدارة المستشفيات الجامعية جامعة سوهاج، إنه على الفور تم البدأ في خطوات العلاج من خلال إجراء التحاليل والأشعات اللازمة، فتم تجهيز الطفل للتدخل الجراحى للوقوف على مدى استعداده لإجراء العملية الجراحية.
وأوضح الدكتور خالد عبدالعال المدير التنفيذي للمستشفيات الجامعية جامعة سوهاج، أنه تم تشكيل فريق فريق طبي على أعلى مستوى من المهارة من أطباء المخ والأعصاب والتخدير، حيث تم تخدير المريض تخدير كلي مع استخدام أحدث الوسائل لمتابعة الوظائف الحيوية لحظة بلحظة، حيث أجريت الجراحة على مدار ٦ ساعات متواصلة تكللت بالنجاح.
وأضاف الدكتور أحمد كمال مدير مستشفى الجراحات المتخصصة جامعة سوهاج، أنه بعد عمل أشعة الرنين المغناطيسي تبين وجود ورم خبيث بالفص الخلفي من المخ ضاغط على المخيخ وجزع المخ، لافتًا إلى أن هذه الحالات تعتبر من أخطر حالات أورام المخ وقاع الجمجمة لما يحمله الجزء المصاب به الورم من مراكز حساسة.
وأكد الدكتور عابدين خيرالله قاسم رئيس قسم جراحة المخ والأعصاب جامعة سوهاج، أن الفريق الطبي الجراحي نجح في استئصال الورم كليًا مع الحفاظ على المراكز والشرايين المحيطة بالورم للحفاظ على المخيخ وجذع المخ، اعقبها نقل المريض إلى العناية المركزة للأطفال لإفاقة الطفل تدريجيًا، وبعد مرور يوم كامل للإفاقة استعاد الطفل الوعي كاملًا مع حركة الأطراف طبيعيًا.
الجدير بالذكر أن الفريق الطبي الذي أجرى الجراحة ضم كلًا من الدكتور عابدين خير الله، والدكتور عبدالعليم، والطبيب عمرو صديق، بينما ضم فريق التخدير الدكتور خالد حسان، وضم فريق التمريض كلًا من هاجر أحمد، وهبه حامد.

