جامعة سوهاج تنجح في إيقاف نزف شرياني حاد وتنقذ حياه مريض يبلغ ٧٥ عامًا
صرح الدكتور حسان النعماني رئيس جامعة سوهاج، أن فريق طبي بوحدة الجهاز الهضمي والكبد بقسم الباطنة العامة ووحدة الأشعة التداخلية بقسم الأشعة نجح في إنقاذ حياة مريض يبلغ من العمر ٧٥ عامًا له تاريخ مرضي ويعاني بقصور بوظائف الكلي وتليف بالكبد، حيث نجح الفريق في إيقاف نزف شرياني حاد من خلال إجراء التدخل السريع بإستخدام المنظار والقسطرة الشريانية العلاجية بالأشعة التداخلية، مثمنًا دور المستشفيات الجامعية في خدمة المرضي وما تمتلكه من الكوادر الطبية ذوي الخبرات التي تؤهلها للتعامل مع مثل هذه الحالات الطارئة باحترافية ومهارة فائقة.
وأوضح الدكتور مجدي القاضي عميد كلية الطب البشري ورئيس مجلس إدارة المستشفيات الجامعية جامعة سوهاج، أنه تم التعامل على الفور مع المريض الذي حضر إلى استقبال الباطنة العامة، وكان يعاني من نزيف حاد وقيء دموي وبراز مدمم وأنيميا حادة وعلاماته الحيوية غير مستقرة، وتم على الفور حجزه بوحدة الرعاية المتوسطة لتحسين العلامات الحيوية وإجراء منظار علوي عاجل له، مما يعكس التقدم الهائل في الأمكانيات والفرق المدربة داخل المستشفيات الجامعية.
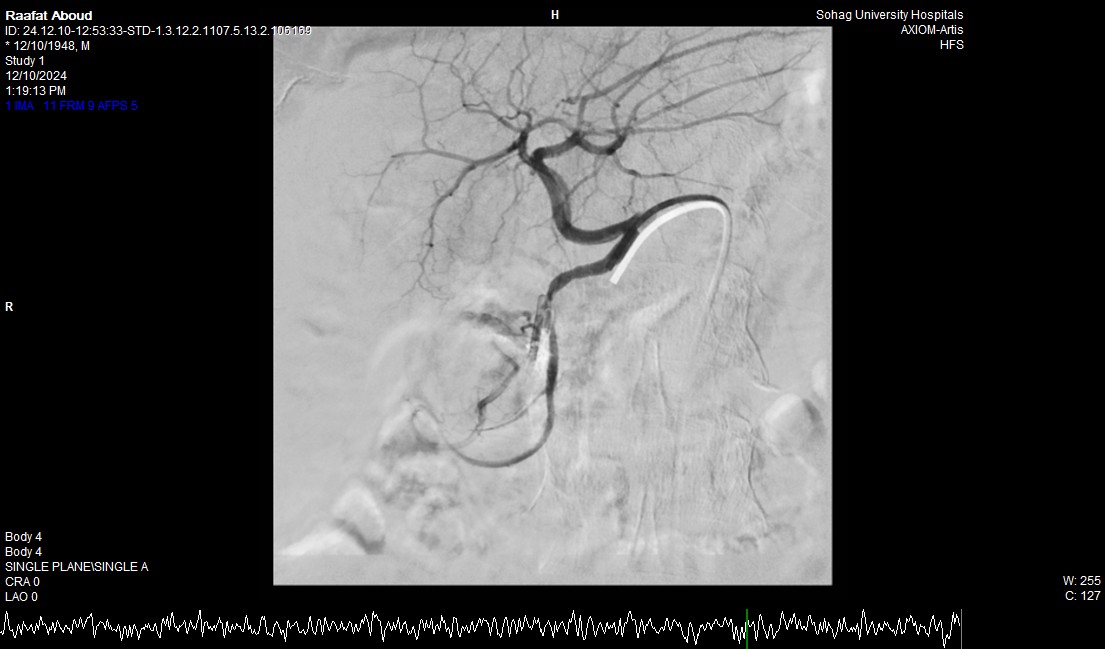
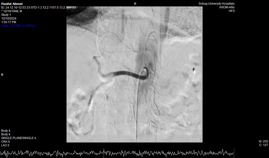
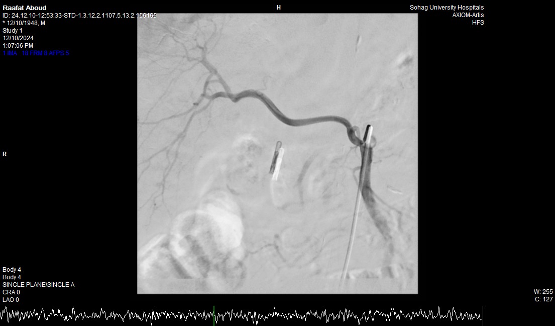
وأضاف الدكتور أحمد كمال المدير التنفيذي للمستشفيات الجامعية جامعة سوهاج، أنه بعد إجراء الفحوصات للمريض تبين وجود قرحة كبيرة بالإثنى عشر وشريان نازف، حيث نجح الفريق في التحكم المبدئي بالنزيف عن طريق تركيب مشبك معدني بالمنظار وحقن للقرحة النازفة، ثم تم استدعاء فريق أطباء وحدة الأشعة التداخلية على الفور وتم عمل غلق للشريان النازف بشكل عاجل من خلال جهاز القسطرة.
وذكر الدكتور نايل عبدالحميد رئيس قسم أمراض الباطنة أن هذا التدخل الطارئ لإيقاف النزيف من خلال المنظار أو من خلال غلق الشريان بواسطة الأشعة التداخلية جنب المريض من التعرض للحل الجراحي في هذا العمر، مشيرًا إلى أن المريض الآن في حالة مستقرة حيويًا وتوقف تام للنزيف وتحسن لوظائف الكلى والكبد وتم خروجه من وحدة الرعاية المتوسطة للمتابعة بالقسم الداخلي.
وأوضح الدكتور محمد زاكي رئيس قسم الأشعة، أن مثل هذه الحالات تعد من الطوارئ الطبية الخطيرة والتي تستوجب عمل قسطرة شريانية عاجلة لغلق الشرايين النازفه، مشيرًا أن وحدة الأشعة التداخلية تم تزويدها بجهاز أشعة محوري متقدم لاجراء مثل هذه الحالات، وأن هذا النجاح هو نتيجة لتعاون أقسام المستشفى مع وحدة الأشعة التداخلية لتقديم خدمة مميزة للمرضى.



